치마 입기를 좋아하고 키가 작아 하이힐 구두를 즐겨 신었는데요 어느 날부터 엄지가락 통증이 있고 욱신욱신해서 찾아보다 보니 내 발이 무지외반증이라는 것을 알게 되었습니다. 무지외반증을 개선하기 위해 해 본 것들과 후기를 공유하고자 합니다.
| 목차 1. 무지외반증은 무엇? 2. 무지외반증 증상 3. 무지외반증 치료 4. 무지외반증 치료 결론 |
1. 무지외반증은 무엇?

무지외반증은 말은 어렵지만 결국 뾰족한 구두를 주로 신다가 엄지발가락이 구두에 맞게 휘어져 생기는 병이다 (나의 경우에는) 물론 무지외반증은 선천적인 요인과 후천적인 요인 등의 복합적 요인으로 생길 수 있는데 선천적으로는 평발과 넓적한 발 , 과도하게 유연한 발 또는 유전적 요인으로 생길 수 있으며 후천적으로는 신발 앞이 좁은 신발을 신거나 하이힐 등의 굽이 높은 신발을 주로 착용하는 경우 생길 수 있다.
무지외반증은 엄지 발가락이 검지발가락 쪽으로 휘어지면서 엄지발가락 바깥쪽 끝 부분이 과하게 튀어나오게 된다. 이 튀어 나오게 된 부분이 신발 등에 자극을 지속적으로 받으면서 통증이 생기고 염증이 일어나게 되는데 심하면 엄지발이 휘어지면서 검지발가락과 다른 발가락에도 변형을 주거나 압박을 주어 피부 궤양이 발생하거나 탈구, 변형 등이 생기기도 한다.
2. 무지외반증 증상

무지외반증 증상은 어느날 갑자기 나타나지는 않습니다. 발가락에 변형이 생기며 서서히 통증이 느껴지게 되는데요 저는 처음에는 그저 많이 걸었거나 오늘 신발이 좀 불편해서라고 생각하며 집에 돌아와 대충 주물러주고 족욕 하는 정도로 방치하였습니다.

하지만 지속적으로 하이힐과 구두를 신으면 점점 통증의 빈도가 심해지고 어떤 날은 걷다가 갑자기 쥐가 나기도 하면서 도저히 그대로 서있거나 걸을 수 없는 통증이 오게 되어 개선이 필요하다는 것을 인식하게 되었습니다. 처음에는 엄지발 쪽 발바닥이 찌릿찌릿했고 발바닥이 피가 안 통하는 느낌으로 발이 불편하며 나중에는 엄지발 옆의 튀어나온 부분이 욱신욱신하며 그 어떤 신발을 신어도 아프고 걷는 게 힘들기도 하였습니다.
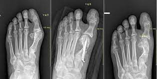
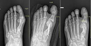
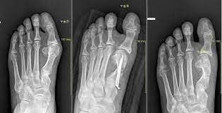
무지외반증은 엄지발가락이 휜 정도만 보아도 진단이 가능한데, 발가락이 휜 정도 검지와 엄지가 겹치는 정도, 다른 발가락들의 통증 여부 굳은살 정도에 따라 병의 정도를 진단하며 치료를 진행 합니다. 다행히 저의 경우는 아주 심한 정도는 아니었어서 (인터넷상으로 확인해 보니 2 단계 정도였다고 판단됨) 수술을 고려하지는 않았는데요 심한 경우는 수술이 필요할 수도 있으니 꼭 전문의와 상담하시길 권해 드립니다.
3. 무지외반증 치료
3-1. 온라인 구매 교정기 사용
처음엔 인터넷에서 무지외반증 교정기를 검색해 주문해서 사용 해 보았습니다. 집에 돌아오면 교정기를 착용하고 있었지만, 어떤 날은 착용하고 있는 자체 만으로 너무 아팠습니다. 아픔을 참아야 교정이 될 거라 기대하고 참았지만 별 효과는 없었습니다. 오히려 발을 조여 압박해서 엄지발 옆의 튀어나온 부분을 누르다 보니 이게 더 심해지는 건지, 좋아지는 건지 불편하고 알 수가 없었습니다. (사진을 넣을 수 없음을 양해 부탁 드립니다. 주로 딱딱하게 발을 조이는 형태 였습니다.)
3-2. 풋케어 샵 방문
풋케어가 도움이 된다고 하여 풋케어 샵도 방문하여 보았지만 통증이 있을 때 통증이 좀 경감되는 느낌이 들기도 하고 발이 붓는 것이 좀 덜 한 느낌이 있었지만 실질 적인 교정 효과가 있다고 보긴 어려웠습니다. 비용은 비용대로 비싸고 시간이 지나면 똑같은 통증이 되풀이 되었습니다.
3-3. 온라인 구매 발가락 비율 교정기
여러 교정기들을 사용해보고 좀 다르게 생긴 교정기를 발견해 발에 무리가 없을 것 같아 구매해 사용해 보았습니다. 지난 교정기는 발을 압박해서 튀어나온 부분을 억지로 누르는 원리였다면 이 교정기는 발가락 사이사이를 일정한 비율로 교정하는 교정기였습니다. 무지외반증 치료는 꾸준한 관리(뾰족구두 안신기, 하이힐 안신기)와 꾸준한 교정이 중요하기 때문에 교정기를 착용하고 있는 것이 편하고 아프지 않은 것이 중요합니다. 당연히 이 교정기도 금방 효과를 보진 못했지만 무엇보다 착용하고 있는 상태가 편하였고 재질도 딱딱하지 않아 오래 착용할 수 있었고 꾸준히 착용할 수 있었습니다. 크록스 신는 날은 안에 착용하고 양말 신고 나가기도 수월하였습니다.
물론 이 교정기를 쓰고도 상태가 금방 좋아진 것은 아니지만 서서히 발의 통증이 줄어든다는 느낌을 받았고 몇 개월 사용한 이후에 엄지발의 휜상태가 조금 교정되었다고 느껴졌습니다. 저는 가운데 발이 4번째 발가락을 밟고 4번째 발가락이 새끼 발가락을 밟아 걸을 때 아프고 발가락 아래로 굳은살이 많았었는데요 이 교정기를 사용하면서 다른 발가락들도 곧게 펴져서 압박 받아 기울어지면서 아프고 굳은살 생겼던 다른 발들도 붓거나 하지 않고 굳은살도 점점 덜 생기게 되었습니다.
해당 제품을 바로 소개할수는 없고 발가락의 비율을 교정하는 교정기로 엘라스토머? 말랑한 소재로 되어 있습니다. 인터넷에서 3만 원 내외로 저렴하게 구입이 가능합니다.
4. 무지외반증 치료 결론
무지외반증 치료에는 이외에도 수술 치료가 있는데 수술 후에도 재발 할 가능성이 있다고 하며 수술 비용이 500만원이 넘게 들고 수술 후 일상 생활에서도 한참 동안 불편함이 있다고 들어 저는 최대한 수술을 하지 않기 위해 다른 방법들을 시도해 보았습니다.
물론 상태가 수술할 만큼 심하지 않았고, 다행히 꾸준히 교정기를 사용하고 구두를 잘 신지 않은 탓에 조금씩 호전이 되었습니다. 물론 패션의 완성 신발을 포기하였고, 키가 작은 채로 다녀야 하지만 잠시나마 겪었던 아픔을 다시 겪고 싶지 않아 지금도 잘 관리해 주고 있습니다. 혹시나 무지외반증으로 고생하시는 분들에게 도움 될 수 있길 바랍니다.
얼마전에 친구를 만났는데 친구가 너무 피곤하다면서 가방에서 뭘 꺼내 먹길래~ 봤더니 글루콤이 었어요~ 그렇게 해서 알게된 글루콤, 친구를 통해 알게 되었는데, 찾아보니 피곤 할 때 드신다
t1.infoplus828.com
https://link.coupang.com/a/58c0J
포테가르 무지외반증 교정기 발가락 보호대 왼발 + 오른발 세트 PF-01
COUPANG
www.coupang.com
"이 포스팅은 쿠팡 파트너스 활동의 일환으로, 이에 따른 일정액의 수수료를 제공받습니다."






'건강 & 생활 정보' 카테고리의 다른 글
| 손주 돌봄수당 신청 방법 및 대상(서울, 그외지역 광주, 경남) (0) | 2023.08.09 |
|---|---|
| 침수지역 홍수위험지도로 알아보자 (0) | 2023.08.08 |
| 정부24 모바일신분증 발급 및 사용 방법, 효력 (0) | 2023.08.04 |
| EBS 중학 프리미엄무료 수강, 환불방법 (0) | 2023.07.23 |
| 옥수수 냉동 보관, 효능 삶는 법 팁까지 (0) | 2023.07.13 |